Dinți Ficși în 8 – 24 de ore
pe implanturi dentare.
Dantură completă în aceeasi zi!

Cine poate beneficia de procedură?
Procedura este perfectă pentru oricine visează la un zâmbet complet revitalizat. Indiferent dacă te confrunți cu pierderea dinților, proteze dentare inconfortabile sau pur și simplu îți dorești o soluție de lungă durată, te așteptăm să redescoperi confortul și siguranța unui zâmbet perfect.
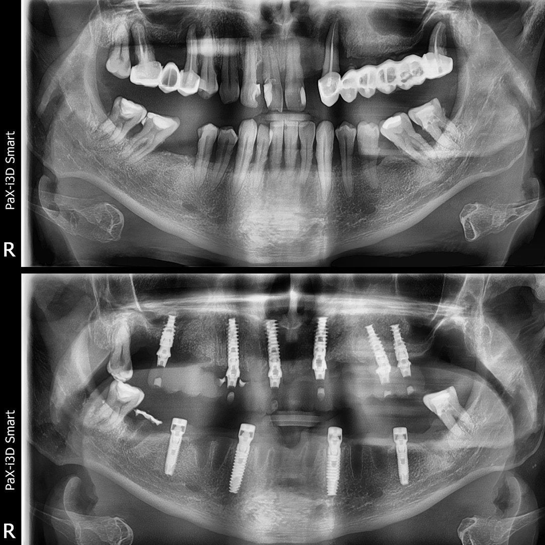
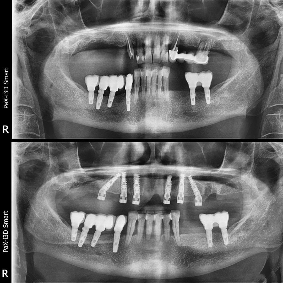
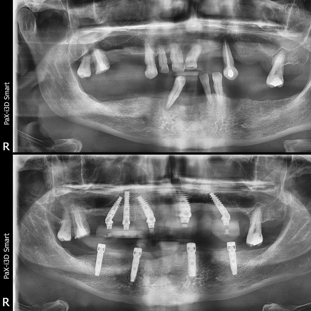
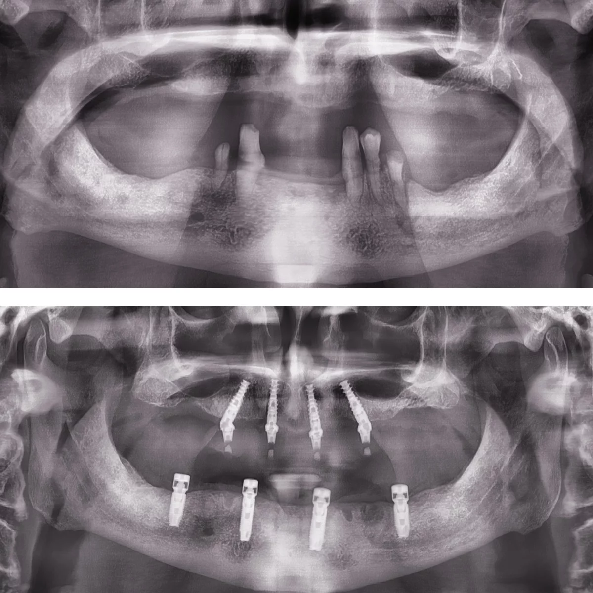
Dinți Ficși în 8-24 de ore pe implanturi dentare cu tehnica All-on-4/All-on-6 este cea mai eficientă și rapidă metodă de restaurare totală a danturii.
Este tratamentul ideal pentru pacienții care își doresc o dantură nouă, fixă și funcțională.


20+
Ani de experiență
+10k
Cazuri de succes
100%
Pacienți Satisfăcuți
Te afli în una din situații?
- Suferi de o boală paradontală?
- Ai proteză dentară mobilă?
- Ai dinți lipsă?
- Ai carii severe care distrug dantura?

Intervenția chirurgicală explicată

Care sunt etapele până la efectuarea intervenției de dinți ficși
- Consultul Inițial
- Consult si plan de tratament final
- Intervenția chirurgicală
- Amprentare digitală cu scanner intraoral
- Aplicare lucrare provizorie pe implanturi
- Lucrarea finală

De ce să ne alegi?
Durere moderată!
Medici cu peste 15 de ani de experiență în reabilitări dentare complexe
Clinică digitală la standarde internaționale!
Experiență vastă în restaurări totale complexe, durabile, funcționale și estetice!
Sute de reabilitări orale prin sistemul Dinți într-o zi
Peste 4000 Implanturi dentare inserate
Avantaje
• Confort sporit pentru pacient
• Estetică deosebită, asemanatoare dinților naturali
• Stabilitate bună
• Funcționalitate
• Stimulează osul
• Nu modifică vorbirea
• Igienizare ușoară
Dezavantaje
• Costuri ridicate.
• Dacă privim însă lucrurile în ansamblu și evaluăm avantajele acestui tip de lucrare fixă pe implanturi, pe termen scurt și lung, beneficiile sunt mult mai mari decât dezavantajele.
Prețuri dantură
completă cu dinți ficși
în 8-24 de ore pe implanturi dentare cu
tehnica All-on-4/All-on-6
Această investiție în sănătatea și încrederea dvs. este acum mai accesibilă ca niciodată. Beneficiați de flexibilitatea plății în rate, disponibilă doar cu buletinul, pentru a vă bucura de avantajele unei danturi complete, rapide și de înaltă calitate. Nu lăsați preocupările financiare să vă oprească. Contactați-ne astăzi pentru a discuta despre planul de plată care vi se potrivește cel mai bine și faceți primul pas către zâmbetul pe care l-ați visat întotdeauna.
| Serviciu | PREȚ RON | PREȚ EURO |
|---|---|---|
| Dantură fixă pe 4 implanturi standard All-on-4 Alpha-Bio | de la 15000 RON | de la 3000 Euro |
| Dantură fixă pe 6 implanturi standard All-on-6 Alpha-Bio | de la 20000 RON | de la 4000 Euro |
| Dantură fixă pe 4 implanturi premium All-on-4 Nobel/ Straumann Premium | de la 25000 RON | de la 5000 Euro |
| Dantura fixa pe 6 implanturi premium All-on-6 Straumann Premium | de la 30000 RON | de la 6000 Euro |




























